सोशल मीडिया पर एक छाती के एक्स-रे की तस्वीर वायरल है। इस एक्स-रे में कॉकरोच दिख रहा है। दावा किया जा रहा है कि सिंगापुर से हिमांचल के सोलन में आए एक पर्यटक को सीने में दर्द महसूस हुआ और इलाज के लिए वहां सरकारी अस्पताल गया। डॉक्टर ने जब उसका एक्स-रे किया तो उसके सीने में एक कॉक्रोच पाया। लेकिन जब पर्यटक ने वापस सिंगापूर जाकर अपना एक्स-रे कराया टतो वहां के डॉक्टर ने जांच करने के बाद उसे बताया कि कॉकरोच उसकी छाती में नहीं बल्कि सोलन अस्पताल की एक्स-रे मशीन के अंदर था।
दिव्या कुमारी ने एक्स पर लिखा, ‘सोलन मे आए आज सिंगापुर के एक पर्यटक को सीने में दर्द महसूस हुआ और इलाज के लिए वहां सरकारी अस्पताल गया। डॉक्टर ने अपने कुछ टेस्ट पर एक्स-रे किया और कहा कि तुरंत सिंगापुर वापस इलाज के लिए चले जाओ क्योंकि उसके सीने में जिंदा तिलचट्टे हैं। निर्देशों के साथ, आपको अपने फेफड़ों के आपातकालीन ऑपरेशन से गुजरना पड़ सकता है। मरीज अचानक हाथ-पैरों में गिर गया और जल्दी में सिंगापुर लौट आया और एयरपोर्ट से सीधे अस्पताल चला गया। डॉक्टर ने जांच करने के बाद उसे बताया कि कॉकरोच उसकी छाती में नहीं बल्कि सोलन अस्पताल की एक्सरे मशीन के अंदर था।’
रेनू यादव ने लिखा, ‘सोलन अस्पताल का चौंकाने वाला मामला एक्स-रे में निकला जिंदा तिलचट्टा लेकिन हकीकत कुछ और…. सोलन में आज एक अजीब और वायरल करने लायक घटना सामने आई… सिंगापुर का एक पर्यटक सीने में दर्द लेकर सरकारी अस्पताल पहुँचा। डॉक्टर ने एक्स-रे किया और रिपोर्ट देखकर तुरंत सिंगापुर लौटकर ऑपरेशन कराने की सलाह दे दी क्योंकि एक्स-रे में जिंदा तिलचट्टा दिखाई दे रहा था बात से घबराकर मरीज तुरंत एयरपोर्ट भागा सिंगापुर पहुँचा और सीधे अस्पताल गया। लेकिन वहाँ की रिपोर्ट देखकर डॉक्टर भी हैरान रह गए उसके सीने में नहीं बल्कि सोलन अस्पताल की एक्स-रे मशीन के अंदर तिलचट्टा था यह घटना सुनकर लोग पूछ रहे हैं मरीज की गलती थी या मशीन की हालत? सरकारी सिस्टम मज़ाक बन गया या जांच में लापरवाही?’
दानिश खान ने लिखा, ‘सोलन मे आए आज सिंगापुर के एक पर्यटक को सीने में दर्द महसूस हुआ और इलाज के लिए वहां सरकारी अस्पताल गया। डॉक्टर ने अपने कुछ टेस्ट पर एक्स-रे किया और कहा कि तुरंत सिंगापुर वापस इलाज के लिए चले जाओ क्योंकि उसके सीने में जिंदा तिलचट्टे हैं। निर्देशों के साथ, आपको अपने फेफड़ों के आपातकालीन ऑपरेशन से गुजरना पड़ सकता है। मरीज अचानक हाथ-पैरों में गिर गया और जल्दी में सिंगापुर लौट आया और एयरपोर्ट से सीधे अस्पताल चला गया। डॉक्टर ने जांच करने के बाद उसे बताया कि कॉकरोच उसकी छाती में नहीं बल्कि सोलन अस्पताल की एक्सरे मशीन के अंदर था।’
वहीं मोहित राय, नवीन शर्मा और ब्रिजेश चौधरी ने भी इसी दावे के साथ मामले को शेयर किया है।
यह भी पढ़ें: पुतिन द्वारा पीएम मोदी कि आलोचना करने का दावा भ्रामक, मोलिटिक्स का वायरल पोस्ट कार्ड एडिटेड है
फैक्ट चेक
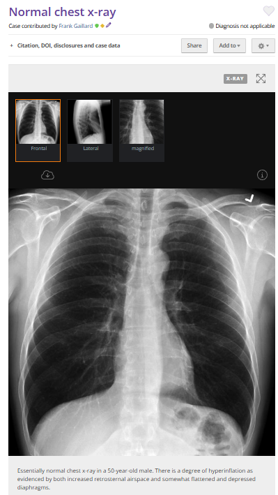
दावे की पड़ताल में संबंधित कीवर्ड की मदद से गूगल सर्च करने पर हमें ऐसी कोई मीडिया रिपोर्ट नहीं मिली। इसके बाद वायरल एक्स-रे की तस्वीर को रिवर्स सर्च करने पर यह तस्वीर हमें Radiopaedia नाम की वेबसाइट पर पोस्ट मिला। लेकिन इस तस्वीर में कॉक्रोच नहीं है। वेबसाइट के मुताबिक यह 50 साल के पुरुष की छाती का एक नॉर्मल एक्स-रे है।

पड़ताल में आगे हमने वायरल एक्स-रे और असल एक्स का आपस में मिलान किया तो पाया कि दोनों एक्स- रे एक ही हैं। जिससे स्पष्ट हुआ कि इस एक्स-रे को एडिट कर इसपर कॉक्रोच की तस्वीर को जोड़ा गया है।

| दावा | हिमांचल के सोलन में एक सरकारी अस्पताल द्वारा एक्स-रे करने पर एक व्यक्ति के फेफड़ो में कॉकरोच पाया गया। लेकिन बाद में पता चला कि कॉकरोच फेफड़ो में नहीं एक्स-रे मशीन में था। |
| दावेदार | दिव्या कुमारी, रेनू यादव, दानिश खान व अन्य |
| निष्कर्ष | सोलन में इस प्रकार की कोई घटना नहीं हुई है। फेफड़ों में कॉकरोच पाए जाने का दावा गलत है। वायरल एक्स-रे की तस्वीर एडिटेड है। |
